나이가 들수록 건강에 대한 걱정이 커지죠.
특히 대상포진은 중장년층에게 흔히 나타날 수 있는 질환인데요,
조기에 발견하지 못하면 극심한 통증과 후유증으로 고생할 수 있습니다.
오늘은 대상포진의 초기증상과 이를 예방하는 방법,
특히 예방접종의 중요성까지 꼭 알아두셔야 할 정보를 정리해 드릴게요.
대상포진이란?

대상포진은 수두 바이러스가 몸 안에 잠복해 있다가 면역력이 약해졌을 때 다시 활동하면서 발생하는 질환입니다.
보통 50대 이후 중장년층에게 자주 발생하며, 요즘처럼 일교차가 큰 환절기에는 발병률이 더욱 높아집니다.
특히 스트레스를 많이 받거나 과로한 경우 발병 위험이 커지죠.
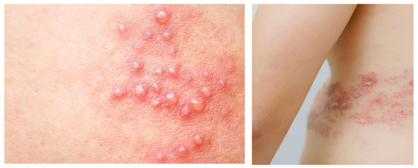
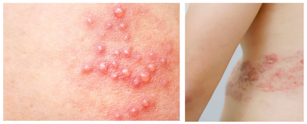
대상포진 초기증상, 이렇게 시작됩니다.
대상포진 초기에는 감기와 비슷한 증상이 나타나 종종 방치하기 쉽습니다.
하지만 다음과 같은 신호가 있다면 꼭 주의하셔야 합니다.
✔ 피부 따끔거림 또는 가려움
특정 부위가 이유 없이 따갑고 가렵다면 주의하세요. 피부병이라기보다는 신경통의 시작일 수 있습니다.
✔ 몸 한쪽으로만 생기는 통증
양쪽이 아닌 몸 한쪽으로 국한된 통증은 대상포진의 특징입니다. 특히 옆구리, 얼굴, 허리 부위에서 많이 발생합니다.
✔ 발열과 몸살 기운
가벼운 열감과 전신 피로, 몸살처럼 느껴지기도 해 단순 감기로 오해하기 쉽습니다.
✔ 수포(물집)의 출현
초기증상 후 며칠 지나면 물집이 생기며 이때부터는 전형적인 대상포진 증상으로 진행됩니다. 통증도 점점 심해져 생활에 큰 불편을 줍니다.
⚠️ 초기에 병원에 가지 않으면 통증이 수개월, 심지어 수년간 지속되는 신경통으로 이어질 수 있습니다.
대상포진, 어떻게 예방할 수 있을까요?
가장 확실한 예방법은 바로 대상포진 예방접종입니다.
50세 이상이라면 건강보험 적용을 받아 예방접종을 맞을 수 있으니, 가까운 병의원에 문의해 보세요.
또한 다음과 같은 생활 습관도 도움이 됩니다.
- 충분한 수면과 휴식
- 스트레스 줄이기
- 규칙적인 운동
- 면역력 강화에 좋은 음식 섭취
✅ 건강이 걱정되신다면, 아래 정보를 참고하세요.
👉 서울대병원 의사가 추천하는 50대 이상 예방접종 안내 보기
👉 대상포진 예방접종 가능한 병의원(최저가) 검색하기
대상포진은 방치하면 고통스러운 후유증으로 이어질 수 있는 무서운 질환입니다.
평소 건강에 자신 있던 분들도 한 번쯤은 증상을 점검해보셔야 해요.
초기증상을 느꼈다면 지체하지 말고 병원을 방문하세요. 조기 진단과 치료가 가장 중요합니다.
그리고 무엇보다, 예방접종으로 미리미리 막는 것이 최고의 대비책이라는 것, 꼭 기억하세요.

'건강정보' 카테고리의 다른 글
| 봄철, 이렇게 먹으면 혈압이 위험해요! 고혈압 환자를 위한 봄철 식단 관리 (0) | 2025.04.11 |
|---|---|
| 건강검진 결과표 보는 법 (이 숫자에 주목하세요) (0) | 2025.04.10 |
| 무릎 관절 건강관리 전조 증상과 올바른 영양제 선택 (0) | 2025.04.02 |
| 미세먼지 심한 날 외부 활동 대처법 미세먼지 농도 (0) | 2025.03.26 |
| BMI 뜻 체질량지수 계산기 계산 방법 (0) | 2024.10.15 |
댓글